Răng mọc ngầm là tình trạng khá phổ biến nhưng lại thường bị bỏ qua do khó nhận biết bằng mắt thường. Không chỉ răng khôn, nhiều loại răng khác cũng có thể mọc ngầm và gây ảnh hưởng lâu dài đến sức khỏe răng miệng. Nếu không được phát hiện và xử lý kịp thời, răng mọc ngầm có thể dẫn đến đau nhức, viêm nhiễm hoặc làm hỏng răng bên cạnh. Bài viết này sẽ giúp bạn hiểu rõ nguyên nhân, dấu hiệu, biến chứng và cách điều trị tình trạng này.
Mục lục
1. Khái niệm răng mọc ngầm
Răng mọc ngầm là tình trạng một hoặc nhiều chiếc răng không thể mọc lên vị trí bình thường trên cung hàm do bị cản trở bởi xương hàm, mô mềm hoặc các răng khác. Trong đa số trường hợp, thân răng vẫn nằm hoàn toàn hoặc một phần trong xương, không xuất hiện ở bề mặt nướu.

Răng mọc ngầm thường nằm hoàn toàn hoặc gần như hoàn toàn trong xương hàm, bị nướu che phủ, nên gần như không thể nhìn thấy bằng mắt thường. Các triệu chứng nếu có cũng không đặc hiệu, chẳng hạn như đau âm ỉ, cảm giác tức vùng hàm, sưng nhẹ hoặc hôi miệng. Những dấu hiệu này dễ bị nhầm lẫn với các bệnh lý răng miệng khác như viêm lợi, sâu răng hoặc răng mọc lệch.
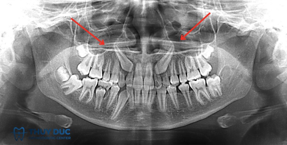
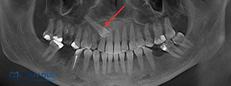
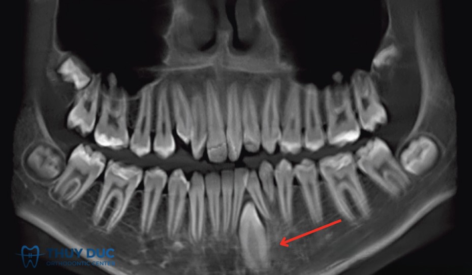
Vì vậy, phương pháp chẩn đoán chính xác nhất là chụp X-quang (thường là phim panorama hoặc phim cận chóp). Trên thực tế, rất nhiều bệnh nhân chỉ phát hiện mình có răng mọc ngầm khi đi khám và chụp phim để điều trị một vấn đề khác, ví dụ sâu răng, viêm nha chu hoặc chuẩn bị niềng răng.
1.1. Vì sao cần quan tâm đến tình trạng răng mọc ngầm
Răng mọc ngầm không chỉ gây ảnh hưởng đến chức năng nhai mà còn tiềm ẩn nhiều nguy cơ cho sức khỏe răng miệng và toàn thân. Nếu không được phát hiện và xử lý kịp thời, răng mọc ngầm có thể gây ra:
- Sâu răng ở vị trí răng kế cận do khó vệ sinh.
- Viêm lợi, viêm mô quanh răng, có thể dẫn đến nhiễm trùng lan rộng.
- Lệch khớp cắn, gây mất cân đối lực nhai và ảnh hưởng đến thẩm mỹ khuôn mặt.
- Hình thành nang hoặc u quanh thân răng mọc ngầm, làm tiêu xương ổ răng.
- Đau kéo dài, ảnh hưởng đến ăn uống, giấc ngủ và sinh hoạt hằng ngày.
Việc quan tâm đến răng mọc ngầm không chỉ giúp bảo vệ sức khỏe răng miệng mà còn phòng tránh các biến chứng nặng nề, giảm thiểu chi phí và thời gian điều trị.
1.2. Khác biệt giữa răng mọc ngầm và răng mọc lệch, mọc kẹt
Răng mọc ngầm là tình trạng răng hoàn toàn hoặc gần như hoàn toàn bị bao phủ bởi xương hoặc mô mềm, không trồi ra khỏi nướu. Trong khi đó, răng mọc lệch và răng mọc kẹt là các khái niệm khác, mặc dù có liên quan.
- Răng mọc lệch: răng đã mọc lên khỏi nướu nhưng hướng mọc bất thường, không đúng vị trí trên cung hàm, có thể nghiêng, xoay hoặc nằm ngang một phần.
- Răng mọc kẹt: răng đã mọc ra một phần khỏi nướu nhưng bị mô mềm hoặc răng khác cản trở, khiến quá trình mọc bị dừng lại.
Điểm khác biệt quan trọng là răng mọc ngầm thường cần chẩn đoán bằng hình ảnh X-quang hoặc CT, trong khi răng mọc lệch hoặc kẹt có thể quan sát được bằng mắt thường. Ngoài ra, răng mọc ngầm có nguy cơ gây biến chứng tiềm ẩn lâu dài hơn do khó phát hiện sớm.
2. Các loại răng có thể mọc ngầm
2.1 Răng khôn mọc ngầm

Răng khôn là răng mọc cuối cùng trên cung hàm, thường xuất hiện ở độ tuổi 18-25. Do mọc muộn, cung hàm thường không còn đủ khoảng trống, khiến răng khôn dễ bị kẹt trong xương hoặc mọc lệch. Răng khôn mọc ngầm có thể gây đau, viêm, sâu răng lân cận vàđôi khi hình thành nang xương. Đây là loại răng mọc ngầm phổ biến nhất.
Tìm hiểu: Có nên nhổ răng khôn hàm dưới? Giải đáp chi tiết
2.2 Răng nanh mọc ngầm

Răng nanh giữ vai trò quan trọng trong thẩm mỹ và định hướng khớp cắn. Răng nanh vĩnh viễn mọc ngầm thường gặp ở hàm trên và có thể gây chen chúc, sai lệch khớp cắn nếu không được phát hiện sớm. Điều trị thường kết hợp phẫu thuật bộc lộ và kéo răng bằng khí cụ chỉnh nha.
2.3 Răng cửa mọc ngầm

Răng cửa mọc ngầm ít gặp hơn nhưng ảnh hưởng trực tiếp đến thẩm mỹ và phát âm. Nguyên nhân thường do răng sữa rụng muộn hoặc có vật cản trong xương hàm như răng thừa. Điều trị sớm giúp bảo tồn răng và hạn chế lệch khớp cắn.
2.4 Răng hàm nhỏ mọc ngầm
Răng hàm nhỏ nằm giữa răng nanh và răng hàm lớn. Mọc ngầm ở nhóm răng này thường liên quan đến thiếu chỗ hoặc do răng sữa bị mất sớm khiến răng kế cận dịch chuyển, làm cản trở đường mọc. Trường hợp này nếu không xử lý kịp có thể làm lệch toàn bộ khớp cắn.
2.5 Trường hợp hiếm: răng sữa mọc ngầm
Răng sữa mọc ngầm là tình trạng ít gặp, có thể xảy ra khi mầm răng nằm sâu trong xương và không có dấu hiệu trồi ra. Nguyên nhân thường do bất thường phát triển của mầm răng hoặc chấn thương vùng hàm mặt khi còn nhỏ. Trường hợp này cần đánh giá kỹ để tránh ảnh hưởng đến mầm răng vĩnh viễn.
3. Nguyên nhân răng mọc ngầm
3.1 Yếu tố di truyền
Di truyền có thể ảnh hưởng đến kích thước xương hàm, hình dạng cung răng và vị trí mầm răng. Một số người có xu hướng răng mọc ngầm do đặc điểm gia đình, đặc biệt là răng khôn hoặc răng nanh.
3.2 Thiếu chỗ trên cung hàm
Khi kích thước răng lớn hơn khả năng chứa của cung hàm, răng sẽ bị kẹt và không thể mọc đúng vị trí. Điều này thường thấy ở người có cung hàm hẹp hoặc răng mọc chen chúc.
3.3 Thói quen xấu từ nhỏ (mút tay, đẩy lưỡi)
Những thói quen này làm thay đổi vị trí răng và hình dạng cung hàm trong giai đoạn phát triển, dẫn đến mất cân đối khoảng trống, khiến răng sau khó mọc.
3.4 Ảnh hưởng từ răng sữa rụng sớm hoặc muộn
- Rụng sớm: răng bên cạnh di chuyển vào khoảng trống, làm mất chỗ cho răng vĩnh viễn mọc.
- Rụng muộn: răng vĩnh viễn không có đường mọc, dẫn đến mọc lệch hoặc mọc ngầm.
3.5 Bệnh lý hoặc chấn thương hàm
Các bệnh lý như u xương, nang răng, viêm nhiễm hoặc chấn thương vùng hàm mặt có thể làm thay đổi cấu trúc xương và hướng mọc của răng. Điều này khiến răng bị kẹt lại trong xương và không trồi lên được.
4. Điều trị răng mọc ngầm
Điều trị răng mọc ngầm cần dựa trên nguyên tắc cá thể hóa, nghĩa là mỗi bệnh nhân sẽ có một kế hoạch riêng, tùy thuộc vào loại răng, vị trí, mức độ sâu trong xương, triệu chứng, tuổi tác và tình trạng toàn thân. Mục tiêu chung là loại bỏ hoặc giảm triệu chứng, ngăn ngừa biến chứng và nếu có thể, giữ lại răng để duy trì chức năng và thẩm mỹ.
Thông thường, bác sĩ sẽ cân nhắc một trong ba hướng chính:
- Can thiệp phẫu thuật nhổ bỏ khi răng gây đau, viêm hoặc ảnh hưởng đến răng khác.
- Bộc lộ và kéo răng vào vị trí bằng chỉnh nha nếu răng có giá trị chức năng hoặc thẩm mỹ.
- Theo dõi định kỳ nếu răng không triệu chứng và không có nguy cơ bệnh lý.
Bác sĩ cần đánh giá toàn diện qua thăm khám lâm sàng, hình ảnh X-quang toàn cảnh hoặc CT Cone Beam để xác định vị trí và hướng mọc. Với răng có giá trị duy trì, đặc biệt là răng nanh hoặc răng cửa, ưu tiên là giữ và đưa răng về vị trí. Ngược lại, với răng khôn hoặc răng không cần thiết, nhổ bỏ thường là lựa chọn tối ưu nếu có nguy cơ biến chứng.
Một nguyên tắc quan trọng khác là phải dự đoán được hậu quả lâu dài nếu không can thiệp, bởi nhiều răng mọc ngầm ban đầu không gây triệu chứng nhưng có thể dẫn đến tổn thương xương hoặc răng kề cận sau nhiều năm.
4.1 Phẫu thuật nhổ răng mọc ngầm
Đây là phương pháp phổ biến nhất, đặc biệt với răng khôn mọc ngầm. Quá trình này bao gồm giai đoạn chuẩn bị, thực hiện và theo dõi sau phẫu thuật.
Chuẩn bị trước phẫu thuật
Trước hết, bác sĩ sẽ khai thác kỹ tiền sử bệnh của bệnh nhân, bao gồm các bệnh tim mạch, tiểu đường, rối loạn đông máu hay tình trạng mang thai. Việc này giúp đánh giá nguy cơ và điều chỉnh kế hoạch phẫu thuật cho phù hợp. Đồng thời, chụp phim toàn cảnh hoặc CBCT được thực hiện để xác định mối quan hệ của răng với các cấu trúc quan trọng như ống thần kinh hay xoang hàm.
Bệnh nhân cũng được hướng dẫn về chế độ ăn, vệ sinh trước mổ vànếu có dùng thuốc chống đông hoặc điều trị đặc biệt, bác sĩ sẽ trao đổi để có điều chỉnh hợp lý. Mọi rủi ro và lợi ích của phẫu thuật cần được giải thích rõ ràng trước khi tiến hành.
Quy trình thực hiện
Phẫu thuật thường bắt đầu bằng gây tê tại chỗ, đôi khi kết hợp tiền mê hoặc gây mê toàn thân trong các ca phức tạp. Bác sĩ rạch vạt nướu, bộc lộ xương và loại bỏ một phần xương bao quanh răng nếu cần.
Với những răng nằm sâu hoặc nằm ngang, thân răng có thể được chia nhỏ để dễ lấy ra mà vẫn hạn chế tổn thương xương. Sau khi lấy răng, ổ nhổ được làm sạch, khâu đóng và đặt chỉ khâu để bảo vệ vết mổ.
Biến chứng sau nhổ
Dù phẫu thuật tương đối an toàn, vẫn có thể xuất hiện các biến chứng như viêm ổ răng khô (dry socket), nhiễm trùng, chảy máu kéo dài hoặc tổn thương thần kinh gây tê bì môi và lưỡi. Một số ít trường hợp có thể tạo đường thông xoang hàm khi nhổ răng hàm trên. Để hạn chế nguy cơ, bệnh nhân cần tuân thủ hướng dẫn chăm sóc hậu phẫu và tái khám đúng hẹn.
4.2 Kéo răng mọc ngầm bằng khí cụ chỉnh nha

Với những răng có vai trò quan trọng như răng nanh hoặc răng cửa, đặc biệt ở người trẻ, bác sĩ thường chọn phương pháp bộc lộ răng và kéo vào cung hàm. Quy trình này bắt đầu bằng việc tạo khoảng trống trên cung răng bằng chỉnh nha, sau đó phẫu thuật bộc lộ thân răng và gắn khí cụ (móc, chain hoặc button). Lực kéo được áp dụng nhẹ nhàng và liên tục, thường kéo dài nhiều tháng cho đến khi răng về đúng vị trí.
Phương pháp này giúp bảo tồn răng và xương ổ răng, cải thiện thẩm mỹ và chức năng cắn nhai, nhưng đòi hỏi bệnh nhân kiên trì điều trị trong thời gian dài và tuân thủ lịch khám định kỳ.
Có thể bạn quan tâm:
- Muốn niềng răng hiệu quả phải tìm bác sĩ niềng răng giỏi
- Niềng răng giá rẻ – Có thật sự rẻ hay là cái giá phải trả sau này?
4.3 Kết hợp điều trị chỉnh nha và phẫu thuật
Nhiều trường hợp phức tạp đòi hỏi sự phối hợp giữa bác sĩ phẫu thuật và bác sĩ chỉnh nha. Trước tiên, chỉnh nha được sử dụng để mở khoảng và tạo điều kiện thuận lợi cho răng di chuyển. Sau đó, phẫu thuật bộc lộ răng và gắn khí cụ kéo. Cuối cùng, chỉnh nha tiếp tục điều chỉnh toàn bộ khớp cắn để đạt kết quả tối ưu cả về chức năng và thẩm mỹ.
4.4 Trường hợp chỉ cần theo dõi, chưa can thiệp
Không phải răng mọc ngầm nào cũng cần điều trị ngay. Nếu răng nằm sâu, không gây triệu chứng, không ảnh hưởng đến răng khác và không có dấu hiệu bệnh lý trên phim X-quang, bác sĩ có thể chỉ định theo dõi định kỳ. Việc này bao gồm khám lâm sàng và chụp phim 6-12 tháng một lần. Tuy nhiên, bệnh nhân cần được thông báo rằng răng có thể gây biến chứng trong tương lai và phải đến khám ngay nếu xuất hiện đau, sưng hoặc bất thường.
Câu hỏi thường gặp
Răng mọc ngầm có tự trồi lên không?
Trong đa số trường hợp, răng mọc ngầm sẽ không tự trồi lên do bị cản trở bởi xương, mô mềm hoặc răng khác. Nếu không can thiệp, răng sẽ duy trì vị trí trong xương và có thể gây biến chứng theo thời gian.
Bao nhiêu tuổi thì có thể nhổ răng mọc ngầm?
Việc nhổ răng mọc ngầm có thể thực hiện khi xương hàm phát triển ổn định, thường từ 16-18 tuổi trở lên. Tuy nhiên, quyết định cụ thể phụ thuộc vào tình trạng răng, triệu chứng và sức khỏe toàn thân của bệnh nhân.
Răng mọc ngầm có nguy hiểm hơn răng mọc lệch không?
Răng mọc ngầm thường khó phát hiện sớm và có nguy cơ gây biến chứng âm thầm như nang, tiêu xương hay hỏng răng kế cận. Răng mọc lệch dễ thấy hơn và thường gây ảnh hưởng cơ học, nhưng mức độ nguy hiểm tùy từng trường hợp.
Sau khi nhổ răng mọc ngầm cần kiêng gì?
Trong 24 giờ đầu, nên tránh súc miệng mạnh, hút thuốc, uống rượu và ăn đồ nóng hoặc cứng. Sau đó, duy trì chế độ ăn mềm, vệ sinh nhẹ nhàng quanh vùng phẫu thuật và tuân thủ hướng dẫn của bác sĩ để tránh nhiễm trùng hay chảy máu.
Có thể phòng ngừa răng mọc ngầm hoàn toàn không?
Không thể phòng ngừa tuyệt đối vì yếu tố di truyền và phát triển xương hàm đóng vai trò lớn. Tuy nhiên, khám răng định kỳ từ nhỏ, can thiệp chỉnh nha khi cần và xử lý răng sữa đúng thời điểm có thể giảm nguy cơ.
Mất bao lâu để hồi phục sau khi nhổ răng mọc ngầm?
Thông thường, mô mềm sẽ lành sau 1-2 tuần, còn xương hàm cần 2-3 tháng để hồi phục hoàn toàn. Thời gian này có thể kéo dài hơn nếu phẫu thuật phức tạp hoặc bệnh nhân có bệnh toàn thân ảnh hưởng đến quá trình lành thương.





